
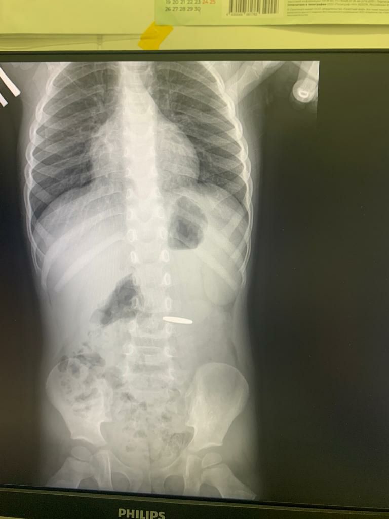
«Сто ребенок проглотил монету, родители узнали сразу, это подтвердил и рентген, который сделали по обращению в больницу, — рассказал заведующий отделением эндоскопии Туапсинской центральной районной больницы №1 Гор Саакян.
— Однако понадеялись, что она выйдет естественным путем. Ребенок принимал пишу все это время, но результатов не было. Вчера ришли к нам. Ребенку сделали анализы, рентгеновский снимок, провели консультации педиатра , затем анестезиолога, а затем провели лечебную гастроскопию. В итоге монету извлекли.

Хочу обратить внимание взрослых на опасность бездействия и, того хуже самолечения в подобных ситуациях. Хорошо, что процедура прошла успешно. Малыш чувствует себя хорошо «.

Фото: Борис Волков, "Туапсинские вести"
Фото: magnific.com
Фото: t.me/kubansledcom
Фото: chnm.rosavtodor.gov.ru